This video has gone viral on TikTok, but our sources say Big Pharma wants it down, so I apologise if you won’t be able to find it tomorrow anymore…
Anyone with bleeding gums or tooth decay must try this “Soft Mineral Candy” Hасk (Its Genius)
As an increasing number of individuals who incorporated this into their toothpaste witnessed significant enhancements in their dental health within mere days…
What’s intriguing is its potential efficacy, not only against tooth decay but also for combating bad breath.
Discover the Single Ingredient That Can Enhance Your Dental Health. If you or someone dear to you is grappling with gum disease or tooth decay, it’s imperative to view this video immediately!
Take a look at Mayer’s story
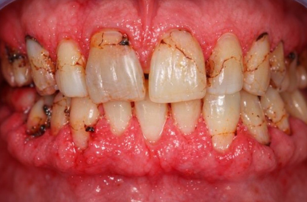
“Hi, I’m Mayer, and I’m 55 years old. If you’re dealing with gum disease, tooth decay, or dental pain, my story might give you hope.
I’m thrilled to share that I was able to rebuild my gums and teeth from scratch, naturally, without any expensive dental procedures.
It’s all thanks to Dr. John Ferman’s ‘mineral ritual’ that made real miracles! Just look at my smile before and after:
And you know what’s the best part?
I managed to save over $60,000 in dental treatments with this simple ‘mineral ritual’ alone!
But let me backtrack a bit and tell you my full story…
PS: As I said, Big Pharma might have this video down, so make sure to watch it while it’s still here!
I’ve been struggling with my dental health since my 30s. At first, it was just mild gum sensitivity and the occasional cavity.
Nothing serious—or so I thought…
Fast forward a few decades, and I was living in constant pain.
My gums were hurting, I had a pretty bad tooth decay, and I could barely chew without wincing…
The worst part? My dentist told me that if I didn’t take action soon, I’d lose most of my teeth.
When I asked what my options were, he handed me an estimate: Over $60,000 for implants, gum grafts, and other procedures. $60,000! I was devastated. There was no way I could afford that… For years, I just dealt with the pain.
I tried to manage it with over-the-counter remedies, but nothing worked.
I was embarrassed to smile, ashamed of my bad breath, and worried about my health.
It felt hopeless—until a friend changed my life with an incredible trick.
One day, I was venting to my friend Cheryl, who works in the dental clinic of Dr. John Ferman.
She told me something shocking about a “mineral ritual” Dr. John Ferman is recommending to his patients.
She said, ‘Mayer, there’s a secret way to fix your gums and teeth that most dentists will never tell you about.
It’s natural, safe, and affordable.’
At first, I didn’t believe her.
But Cheryl insisted, saying it involved activating a special sugar molecule that could repair gum tissue and strengthen teeth from the inside out.
Dr. John Ferman simply called it the “mineral ritual”.
PS: Again, this video might be taken down by Big Pharma in the next days, so it may not be available anymore.
Now, this trick doesn’t rely on expensive treatments or harsh chemicals.
Instead, it works by reactivating your body’s natural healing processes:
Skeptical but desperate, I decided to give this “mineral ritual” a try.
Within the first week, I noticed a difference. The bleeding in my gums stopped.
The pain while chewing? Gone.
By the second week, my gums were no longer swollen, and my tooth decay was slowly disappearing.
And by the end of the first month, I could smile again without feeling self-conscious.
PS: I hope I’m not too annoying for repeating it, but Big Pharma might take this video down, so make sure to watch it until you still can!
Over the next few months, my gums completely healed, my teeth became strong and white, and I felt confident enough to visit my dentist again.
He was stunned.
He couldn’t believe how healthy my gums and teeth looked without a single expensive treatment!
Now, I can eat whatever I want, smile as wide as I please, and feel proud of my dental health!
All thanks to Cheryl and her incredible “mineral ritual” .
If you’re struggling with dental problems like I was, I can’t recommend the “mineral ritual” enough.
It’s simple, natural, and doesn’t cost a fortune.
Trust me,this “mineral ritual” could be the solution you’ve been waiting for.”
Mayer Johnson